logo
المنتجات
سعر جيد  الانترنت

تفاصيل المنتجات

Created with Pixso. المنزل Created with Pixso. المنتجات Created with Pixso.
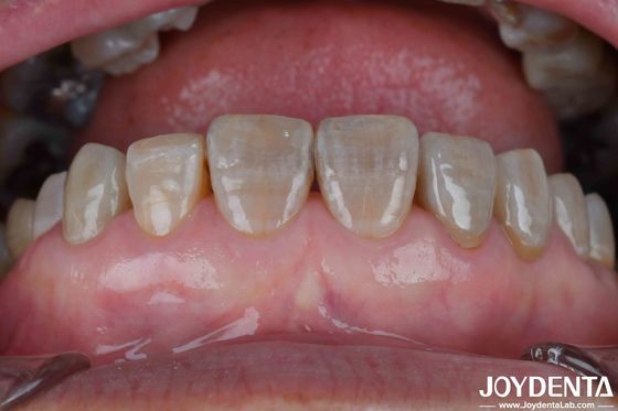
جماليات الأسنان الحيوية
Created with Pixso. زركونيا الأسنان خفيفة الوزن لتجربة مريض مثالية لون طبيعي

زركونيا الأسنان خفيفة الوزن لتجربة مريض مثالية لون طبيعي

الاسم التجاري: Joydenta
رقم الطراز: Zir Multilayered
وقت التسليم: 4 Days In Lab
شروط الدفع: تي / تي، باي بال
معلومات مفصلة
Place of Origin:
China
إصدار الشهادات:
ISO13485
راحة:
سطح خفيف الوزن وناعم للحصول على تجربة مثالية للمريض
التطبيقات:
مثالي للتيجان والجسور والقشرة والترميمات المدعومة بالزرع
الشفافية:
الشفافية الأمثل لتعزيز الجماليات
قوة:
مقاومة عالية للكسر، مناسبة للترميمات الخلفية والأمامية
يعالج:
متوافق مع أنظمة CAD/CAM للتصنيع الدقيق
التخصيص:
ظلال وأحجام مصممة لتلبية احتياجات المرضى الفردية
التوافق الحيوي:
آمن على أنسجة الفم ومناسب للاستخدام طويل الأمد
متانة:
مادة تدوم طويلاً ومقاومة للتآكل والتشوه
موقع جديد:
www.joydenta-lab.com
موقع جديد:
https://joydenta-lab.com/en/
إبراز:

التحولات الطبيعية للون الزركونيا الأسنان,زيركونيا الأسنان الخفيفة الوزن,التوافق البيولوجي مضمون الزركونيا الأسنانية

,

Lightweight Dental Zirconia

,

Biocompatibility Guaranteed Dental Zirconia

وصف المنتج

وصف المنتج:

منتج الزركونيا للأسنان هو حل متطور في طب الأسنان الترميمي يوفر جودة استثنائية وجاذبية جمالية. تم تصميم هذه المادة السنية المتطورة لإنشاء جسور زركونيا متعددة الطبقات وتيجان أسنان زركونيا بأداء فائق ومظهر طبيعي.

المعالجة: يتوافق منتج الزركونيا للأسنان بشكل كبير مع أنظمة CAD/CAM، مما يسمح بتصنيع ترميمات الأسنان بدقة وكفاءة. يضمن هذا التوافق أن كل ترميم مصمم خصيصًا للتشريح السني الفريد للمريض، مما يؤدي إلى ملاءمة ووظيفة مثالية.

المادة: مصنوعة من الزركونيا عالية الجودة باستخدام تقنية التدرج متعدد الطبقات، يوفر هذا المنتج قوة ومتانة مذهلتين. يعزز التركيب متعدد الطبقات مرونة المادة، مما يجعلها مثالية للترميمات طويلة الأمد التي تتحمل قسوة الاستخدام اليومي.

الجماليات: يتميز منتج الزركونيا للأسنان بانتقالات ألوان طبيعية تحاكي الفروق الدقيقة في الأسنان الحقيقية، مما يحقق مظهرًا طبيعيًا للأسنان. يضمن هذا الاهتمام بالتفاصيل أن تتوافق الترميمات بسلاسة مع الأسنان الطبيعية للمريض، مما يعزز ابتسامته بمظهر طبيعي ومتناغم.

الشفافية: مع الشفافية المحسنة، يوفر منتج الزركونيا للأسنان جماليات محسنة من خلال السماح للضوء بالمرور عبر الترميم، مما يحاكي الشفافية الطبيعية للأسنان. تؤدي هذه الخاصية إلى ترميمات تعرض مستوى عالٍ من الجاذبية الجمالية، مما يوفر للمرضى ابتسامات جميلة وطبيعية المظهر.

المتانة: يشتهر منتج الزركونيا للأسنان بمتانته الاستثنائية، مما يجعله خيارًا موثوقًا به للترميمات طويلة الأمد. مقاومة للتآكل والتشوه، تضمن هذه المادة أن تحافظ الترميمات على سلامتها ووظيفتها بمرور الوقت، مما يوفر للمرضى راحة البال والثقة في عملهم في طب الأسنان.

سواء كنت في حاجة إلى جسور زركونيا متعددة الطبقات، أو تيجان أسنان زركونيا، أو تيجان زركونيا عالية الشفافية، فإن منتج الزركونيا للأسنان هو حل من الدرجة الأولى يجمع بين الدقة والجودة والجماليات. جرب فوائد هذه المادة السنية المبتكرة وقم بتزويد مرضاك بترميمات تتفوق في الأداء والمظهر.

 

الميزات:

  • جسور أسنان الزركونيا
  • تيجان زركونيا عالية الشفافية
  • تيجان أسنان الزركونيا
  • اسم المنتج: الزركونيا للأسنان
  • المعالجة: متوافق مع أنظمة CAD/CAM للتصنيع الدقيق
  • الراحة: سطح خفيف الوزن وناعم لتجربة مثالية للمريض
  • التخصيص: ظلال وأحجام مصممة خصيصًا لتلبية احتياجات المريض الفردية
  • القوة: مقاومة عالية للكسر، مناسبة للترميمات الخلفية والأمامية
  • الجماليات: انتقالات ألوان طبيعية لمظهر أسنان طبيعي
 

التطبيقات:

مناسبات وسيناريوهات تطبيق المنتج لـ Joydenta Zir Multilayered Dental Zirconia:

إنتاج كتل الزركونيا CAD/CAM: تعتبر الزركونيا السنية متعددة الطبقات Joydenta Zir مثالية لإنتاج كتل الزركونيا CAD/CAM. يضمن توافقها مع أنظمة CAD/CAM التصنيع الدقيق، مما يجعلها الخيار الأفضل لمختبرات الأسنان التي تتطلع إلى إنشاء ترميمات عالية الجودة.

تيجان زركونيا عالية الشفافية: مع الشفافية المحسنة، تعتبر الزركونيا متعددة الطبقات Joydenta Zir مثالية لصنع تيجان زركونيا عالية الشفافية. توفر هذه التيجان جماليات محسنة، مما يجعلها مناسبة لمجموعة واسعة من تطبيقات طب الأسنان، من طب الأسنان التجميلي إلى الإجراءات الترميمية.

ترميمات متينة وطويلة الأمد: توفر الزركونيا متعددة الطبقات Joydenta Zir متانة طويلة الأمد، حيث إنها مقاومة للتآكل والتشوه. وهذا يجعلها خيارًا ممتازًا لترميمات الأسنان التي تتطلب القوة وطول العمر، مما يضمن رضا المريض.

الحلول المخصصة: تسمح مادة الزركونيا بظلال وأحجام مصممة خصيصًا، لتلبية احتياجات المريض الفردية. يمكن لأطباء الأسنان إنشاء ترميمات مخصصة تتناسب مع الأسنان الطبيعية لكل مريض، مما يوفر ابتسامة شخصية وطبيعية المظهر.

تجربة مريض مريحة: يساهم السطح الخفيف والناعم للزركونيا متعددة الطبقات Joydenta Zir في تجربة مريض مثالية. سيقدر المرضى راحة وجماليات الترميمات المصنوعة من هذه المادة، مما يعزز رضاهم العام عن علاج الأسنان.

الجودة والمنشأ المعتمدان: تم اعتماد الزركونيا متعددة الطبقات Joydenta Zir بشهادة ISO13485، مما يضمن معايير الجودة العالية في الإنتاج. منشأها من الصين، يجمع هذا المنتج بين الجودة الموثوقة وأوقات التسليم الفعالة التي تبلغ 4 أيام في المختبر، لتلبية احتياجات ممارسات طب الأسنان المزدحمة.

خيارات الدفع الآمنة: يمكن للعملاء شراء الزركونيا متعددة الطبقات Joydenta Zir بسهولة بشروط الدفع بما في ذلك T/T و Paypal. هذه المرونة في خيارات الدفع تجعل من السهل على أخصائيي طب الأسنان الحصول على المواد اللازمة لممارستهم.

 

التخصيص:

خدمات تخصيص المنتج لـ Joydenta Dental Zirconia - Zir Multilayered

اسم العلامة التجارية: Joydenta

رقم الموديل: Zir Multilayered

مكان المنشأ: الصين

الشهادة: ISO13485

وقت التسليم: 4 أيام في المختبر

شروط الدفع: T/T، Paypal

التطبيقات: مثالية لتيجان الزركونيا عالية الشفافية، وتيجان أسنان الزركونيا، والجسور، والقشرة، والترميمات المدعومة بالزرع

الشفافية: شفافية محسنة لجماليات محسنة

القوة: مقاومة عالية للكسر، مناسبة للترميمات الخلفية والأمامية

المعالجة: متوافق مع أنظمة CAD/CAM للتصنيع الدقيق

المادة: زركونيا عالية الجودة بتقنية التدرج متعدد الطبقات

سعر جيد  الانترنت

تفاصيل المنتجات

Created with Pixso. المنزل Created with Pixso. المنتجات Created with Pixso.
جماليات الأسنان الحيوية
Created with Pixso. زركونيا الأسنان خفيفة الوزن لتجربة مريض مثالية لون طبيعي

زركونيا الأسنان خفيفة الوزن لتجربة مريض مثالية لون طبيعي

الاسم التجاري: Joydenta
رقم الطراز: Zir Multilayered
شروط الدفع: تي / تي، باي بال
معلومات مفصلة
Place of Origin:
China
اسم العلامة التجارية:
Joydenta
إصدار الشهادات:
ISO13485
Model Number:
Zir Multilayered
راحة:
سطح خفيف الوزن وناعم للحصول على تجربة مثالية للمريض
التطبيقات:
مثالي للتيجان والجسور والقشرة والترميمات المدعومة بالزرع
الشفافية:
الشفافية الأمثل لتعزيز الجماليات
قوة:
مقاومة عالية للكسر، مناسبة للترميمات الخلفية والأمامية
يعالج:
متوافق مع أنظمة CAD/CAM للتصنيع الدقيق
التخصيص:
ظلال وأحجام مصممة لتلبية احتياجات المرضى الفردية
التوافق الحيوي:
آمن على أنسجة الفم ومناسب للاستخدام طويل الأمد
متانة:
مادة تدوم طويلاً ومقاومة للتآكل والتشوه
موقع جديد:
www.joydenta-lab.com
موقع جديد:
https://joydenta-lab.com/en/
Delivery Time:
4 Days In Lab
شروط الدفع:
تي / تي، باي بال
إبراز:

التحولات الطبيعية للون الزركونيا الأسنان,زيركونيا الأسنان الخفيفة الوزن,التوافق البيولوجي مضمون الزركونيا الأسنانية

,

Lightweight Dental Zirconia

,

Biocompatibility Guaranteed Dental Zirconia

وصف المنتج

وصف المنتج:

منتج الزركونيا للأسنان هو حل متطور في طب الأسنان الترميمي يوفر جودة استثنائية وجاذبية جمالية. تم تصميم هذه المادة السنية المتطورة لإنشاء جسور زركونيا متعددة الطبقات وتيجان أسنان زركونيا بأداء فائق ومظهر طبيعي.

المعالجة: يتوافق منتج الزركونيا للأسنان بشكل كبير مع أنظمة CAD/CAM، مما يسمح بتصنيع ترميمات الأسنان بدقة وكفاءة. يضمن هذا التوافق أن كل ترميم مصمم خصيصًا للتشريح السني الفريد للمريض، مما يؤدي إلى ملاءمة ووظيفة مثالية.

المادة: مصنوعة من الزركونيا عالية الجودة باستخدام تقنية التدرج متعدد الطبقات، يوفر هذا المنتج قوة ومتانة مذهلتين. يعزز التركيب متعدد الطبقات مرونة المادة، مما يجعلها مثالية للترميمات طويلة الأمد التي تتحمل قسوة الاستخدام اليومي.

الجماليات: يتميز منتج الزركونيا للأسنان بانتقالات ألوان طبيعية تحاكي الفروق الدقيقة في الأسنان الحقيقية، مما يحقق مظهرًا طبيعيًا للأسنان. يضمن هذا الاهتمام بالتفاصيل أن تتوافق الترميمات بسلاسة مع الأسنان الطبيعية للمريض، مما يعزز ابتسامته بمظهر طبيعي ومتناغم.

الشفافية: مع الشفافية المحسنة، يوفر منتج الزركونيا للأسنان جماليات محسنة من خلال السماح للضوء بالمرور عبر الترميم، مما يحاكي الشفافية الطبيعية للأسنان. تؤدي هذه الخاصية إلى ترميمات تعرض مستوى عالٍ من الجاذبية الجمالية، مما يوفر للمرضى ابتسامات جميلة وطبيعية المظهر.

المتانة: يشتهر منتج الزركونيا للأسنان بمتانته الاستثنائية، مما يجعله خيارًا موثوقًا به للترميمات طويلة الأمد. مقاومة للتآكل والتشوه، تضمن هذه المادة أن تحافظ الترميمات على سلامتها ووظيفتها بمرور الوقت، مما يوفر للمرضى راحة البال والثقة في عملهم في طب الأسنان.

سواء كنت في حاجة إلى جسور زركونيا متعددة الطبقات، أو تيجان أسنان زركونيا، أو تيجان زركونيا عالية الشفافية، فإن منتج الزركونيا للأسنان هو حل من الدرجة الأولى يجمع بين الدقة والجودة والجماليات. جرب فوائد هذه المادة السنية المبتكرة وقم بتزويد مرضاك بترميمات تتفوق في الأداء والمظهر.

 

الميزات:

  • جسور أسنان الزركونيا
  • تيجان زركونيا عالية الشفافية
  • تيجان أسنان الزركونيا
  • اسم المنتج: الزركونيا للأسنان
  • المعالجة: متوافق مع أنظمة CAD/CAM للتصنيع الدقيق
  • الراحة: سطح خفيف الوزن وناعم لتجربة مثالية للمريض
  • التخصيص: ظلال وأحجام مصممة خصيصًا لتلبية احتياجات المريض الفردية
  • القوة: مقاومة عالية للكسر، مناسبة للترميمات الخلفية والأمامية
  • الجماليات: انتقالات ألوان طبيعية لمظهر أسنان طبيعي
 

التطبيقات:

مناسبات وسيناريوهات تطبيق المنتج لـ Joydenta Zir Multilayered Dental Zirconia:

إنتاج كتل الزركونيا CAD/CAM: تعتبر الزركونيا السنية متعددة الطبقات Joydenta Zir مثالية لإنتاج كتل الزركونيا CAD/CAM. يضمن توافقها مع أنظمة CAD/CAM التصنيع الدقيق، مما يجعلها الخيار الأفضل لمختبرات الأسنان التي تتطلع إلى إنشاء ترميمات عالية الجودة.

تيجان زركونيا عالية الشفافية: مع الشفافية المحسنة، تعتبر الزركونيا متعددة الطبقات Joydenta Zir مثالية لصنع تيجان زركونيا عالية الشفافية. توفر هذه التيجان جماليات محسنة، مما يجعلها مناسبة لمجموعة واسعة من تطبيقات طب الأسنان، من طب الأسنان التجميلي إلى الإجراءات الترميمية.

ترميمات متينة وطويلة الأمد: توفر الزركونيا متعددة الطبقات Joydenta Zir متانة طويلة الأمد، حيث إنها مقاومة للتآكل والتشوه. وهذا يجعلها خيارًا ممتازًا لترميمات الأسنان التي تتطلب القوة وطول العمر، مما يضمن رضا المريض.

الحلول المخصصة: تسمح مادة الزركونيا بظلال وأحجام مصممة خصيصًا، لتلبية احتياجات المريض الفردية. يمكن لأطباء الأسنان إنشاء ترميمات مخصصة تتناسب مع الأسنان الطبيعية لكل مريض، مما يوفر ابتسامة شخصية وطبيعية المظهر.

تجربة مريض مريحة: يساهم السطح الخفيف والناعم للزركونيا متعددة الطبقات Joydenta Zir في تجربة مريض مثالية. سيقدر المرضى راحة وجماليات الترميمات المصنوعة من هذه المادة، مما يعزز رضاهم العام عن علاج الأسنان.

الجودة والمنشأ المعتمدان: تم اعتماد الزركونيا متعددة الطبقات Joydenta Zir بشهادة ISO13485، مما يضمن معايير الجودة العالية في الإنتاج. منشأها من الصين، يجمع هذا المنتج بين الجودة الموثوقة وأوقات التسليم الفعالة التي تبلغ 4 أيام في المختبر، لتلبية احتياجات ممارسات طب الأسنان المزدحمة.

خيارات الدفع الآمنة: يمكن للعملاء شراء الزركونيا متعددة الطبقات Joydenta Zir بسهولة بشروط الدفع بما في ذلك T/T و Paypal. هذه المرونة في خيارات الدفع تجعل من السهل على أخصائيي طب الأسنان الحصول على المواد اللازمة لممارستهم.

 

التخصيص:

خدمات تخصيص المنتج لـ Joydenta Dental Zirconia - Zir Multilayered

اسم العلامة التجارية: Joydenta

رقم الموديل: Zir Multilayered

مكان المنشأ: الصين

الشهادة: ISO13485

وقت التسليم: 4 أيام في المختبر

شروط الدفع: T/T، Paypal

التطبيقات: مثالية لتيجان الزركونيا عالية الشفافية، وتيجان أسنان الزركونيا، والجسور، والقشرة، والترميمات المدعومة بالزرع

الشفافية: شفافية محسنة لجماليات محسنة

القوة: مقاومة عالية للكسر، مناسبة للترميمات الخلفية والأمامية

المعالجة: متوافق مع أنظمة CAD/CAM للتصنيع الدقيق

المادة: زركونيا عالية الجودة بتقنية التدرج متعدد الطبقات